Signs and Symptoms of Ulcerative Colitis

Signs and Symptoms of Ulcerative Colitis

Signs and Symptoms of Ulcerative Colitis

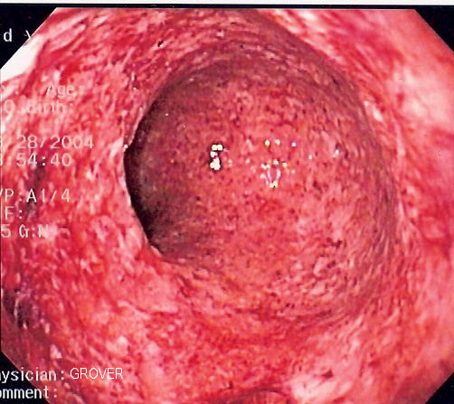
Ulcerative colitis (UC) is a condition that causes long-lasting inflammation and ulcers in the digestive tract. The condition affects the innermost lining of the large intestine and rectum. While the symptoms of UC develop over time, various ulcerative colitis treatment options are available to help manage the condition. Here is more information about the symptoms of UC and how to identify them:

Bloody Stools

The presence of blood in the stool is a hallmark symptom of ulcerative colitis. This occurs because inflammation in the colon’s lining causes ulcers to form, and these ulcers may bleed. The amount of blood is variable; some people notice only small streaks of red, while others experience more significant bleeding. Because ongoing blood loss may lead to other health issues like anemia, individuals who notice this symptom may seek medical evaluation.

Rectal Pain

Rectal pain is another indicator of ulcerative colitis, particularly when the inflammation is concentrated in the rectum, a condition known as proctitis. The pain itself may feel like a dull ache or a sharp, intense discomfort. Inflammation makes the tissues of the rectum very sensitive. This discomfort typically includes a persistent, false urge to have a bowel movement.

Many people with UC experience this pain in waves. The discomfort may intensify during flare-ups when the disease is active, and it might subside during periods of remission. People describe the sensation in various ways, and its intensity can range from mild to severe. Some of the feelings associated with rectal inflammation include:

  • A feeling of pressure
  • Aching or throbbing sensations
  • Sharp pain during bowel movements

Managing this symptom may involve ulcerative colitis treatment that targets the underlying inflammation. Reducing the inflammation in the rectum can lead to a decrease in pain and related discomfort. Working with a doctor helps to determine the appropriate course of action, and it aids in managing both the pain and the disease itself.

Chronic Fatigue

Chronic fatigue is a pervasive and debilitating symptom of ulcerative colitis. This is not ordinary tiredness, but something more profound. The exhaustion is so overwhelming that rest fails to provide relief.

This profound lack of energy stems from several factors related to the disease. The body uses a great deal of energy to deal with chronic inflammation, so this constant internal process drains your reserves. Blood loss causes anemia, leading to fatigue.

Urgent Stools

An urgent and frequent need to have a bowel movement is a defining symptom of UC. Inflammation in the colon and rectum interferes with the organ’s ability to hold stool, creating a sudden, strong urge to go to the bathroom. This urgency can be disruptive, and it typically dictates a person’s daily activities and ability to leave the house. The frequency may also increase, with some individuals experiencing many bowel movements throughout the day, which interrupts work, social life, and sleep.

Schedule Ulcerative Colitis Treatment

Recognizing the signs and symptoms associated with ulcerative colitis is the first step toward getting an accurate diagnosis. Since symptoms like bloody stools, rectal pain, fatigue, and bowel urgency can affect your quality of life, speaking with a gastroenterologist is a proactive measure. A specialist can perform the necessary tests to confirm a diagnosis and discuss a personalized treatment path. If you are experiencing these symptoms, schedule an appointment with a healthcare provider to begin the process of managing your condition.

No Comments

Post A Comment